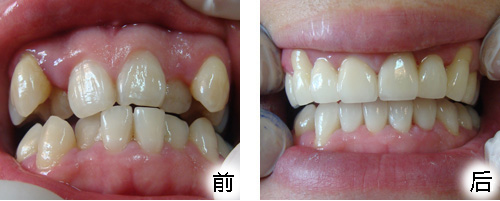
算一算:牙齿矫正需要多长时间
算一算:牙齿矫正需要多长时间 ?现如今,许多人因各式各样牙齿畸形而面临矫治,针对这一情况,市民纷纷咨询:牙齿矫正需要多长时间? 牙齿矫...
算一算:牙齿矫正需要多长时间?现如今,许多人因各式各样牙齿畸形而面临矫治,针对这一情况,市民纷纷咨询:牙齿矫正需要多长时间?

牙齿矫正需要多长时间:
牙齿矫正时间根据治疗者的年龄不同会有所差异,儿童是比较快一些,一般矫正需要一年半到两年左右,矫正简单可能只需要几个月。牙齿矫正的具体时间与很多因素有关,拔牙比不拔牙时间长;骨骼畸形比单纯牙性畸形的矫治时间长。牙齿矫正并不是越快越好,需要用的时间还要看具体的分析,还要看使用什么方法。如果用美容冠修复的话,只需要5—7天就行。那如果进行有托槽或无托槽的矫正相对的时间就会长一些。
牙齿矫正时间与个人牙齿的情况有关。
每个人牙齿拥挤和不齐的程度都不一样,有的需要拔牙治疗有的则不需要拔牙,这些都会导致矫治时间的不同。另外,年龄也是导致矫治时间不同的因素之一。
矫正牙齿时间与矫治材料有关。
个人的情况不一样,采取的治疗方法和需要的治疗时间也就不同。从而牙齿矫正的材料也不一样,如果选择隐形无托槽矫正,这种矫治方式几乎是完全隐形的,隐蔽性极好,但相对于有托槽的矫正方式来说时间就会稍微长一些。
品牌推荐:内蒙古世纪口腔医院 韩式无托槽隐形矫正系统
普通正畸:改善畸形、恢复正常咀嚼、话语功能
自锁托槽矫治:矫治提速半年,复诊次数减半
隐形无托槽正畸:透明美观,牢固稳定,外观圆润小巧,配戴舒适;
特惠正畸:4999元!
内蒙古世纪口腔医院根据不同患者病例情况个性化治疗,提供牙齿矫正后定期检查和护理项目,让牙齿矫正患者无后顾之忧。
温馨提示:以上就是世纪口腔医生对牙齿矫正需要多久时间的介绍,值得注意的是,种植牙是一项严格的牙齿技术,所以选择一家专业的齿科医院才能获得更好的牙齿矫正效果。
相关文章
- 牙齿矫正期间怎样科学护理2015-11-18
- 成人矫牙考虑因素涉及哪些方面2015-11-17
- 算一算:牙齿矫正需要多长时间2015-11-02
- 呼和浩特十一期间牙齿矫正价格2015-09-25
- 呼和浩特矫正牙齿费用在多少钱2015-09-18
- 市民牙齿矫正期间怎样科学刷牙2015-09-05








